"A man who is his own doctor has a fool for a patient"

My second cast I got initially felt way too tight. After a day, I could feel a burning sensation on the small finger side of my palm. I knew this would chafe into a blister if I didn't do something soon. So I cut a slot in the underside of the cast from the palm to just past the wrist. I pried this slot apart a bit and inserted a small wooden spacer to give me a bit more room inside.

But after two weeks in that cast, it got the better of me. Based on lots of obsessive research on the internet, I figured the bones should be fairly stuck together by then, though not very strong. And so I cut the cast completely apart on both sides using my Dremel tool. I mounted the Dremel tool to the edge of my table saw and moved the cast against it.

I figured I would switch to a less restrictive "wrist lacer" instead of the cast. But the wrist lacer turned out to be unbearably uncomfortable after about 8 hours. So uncomfortable in fact that I resorted to taking a pain killer. The only other time I'd taken one was the same evening that I broke my wrist.


Removable cast

So with the wrist lacer unbearably uncomfortable, but still needing some sort of support for the wrist, the logical thing to do would have been to go back to the hospital, admit I was an idiot, and get a new cast put on. The prospect of that wasn't very appealing. Plus, I figured, a new cast would be way too tight again, and then I'd have to cut that one too!

So I glued a strip of cloth over one of the cuts I made in the fiberglass cast. I used hot glue, because it stays flexible, and I'd still be able to re-heat it to make adjustments if needed. I had discovered that hot glue can be surprisingly strong when I did some glue test experiments last year.


I glued a zipper over the other cut I made in the cast. Now I had a cast that could be zipped and unzipped!

When I had cut the cast open initially, I was careful to cut the padding so that it stayed in the cast. But the stockinette liner was beyond saving. But after two weeks pressed against my skin, it wasn't that appealing anymore.

So I cut the remains of the stockinette off the cast and used some thin and stretchy fabric to make a sleeve that I could put on my arm before closing the cast over it. Once I put the cast on, I could then fold the ends of the sleeve over the cast to hide the zipper. I thought that was a pretty cool invention! It took me quite a few tries to make a sleeve to go inside the cast that was just right. I used stretchy fabric, but the fit was still critical. It needed to fit with very little tension around my arm but also without any wrinkles. Even the seam was a bit of a challenge, and I found the best was to just overlap the two pieces and sew that together - an operation that's tricky to do with a sewing machine.

An extra cast stockinette that I procured online also worked well as a sleeve.


Making the cast removable made it much easier for me to deal with it. My still healing wrist felt much more comfortable with the cast on, and I could do more with my hands with the cast on because I didn't have to worry about accidentally over-flexing it. I could also clean my arm and put a clean sleeve in the cast. That felt so much better and really cut down on the itchiness. But perhaps most important of all, it felt like I was in charge!


Another minor "invention" was to make an adapter so I could turn my nut grinder with a hand drill.

I like to make a snack of frozen blackberries, with ground-up hazelnuts or almonds ground on them. But I couldn't really crank that nut grinder with my arm in a cast.

I made a piece that fits over the grinder handle, with a piece of dowel sticking out to put into the drill's chuck. That worked very well.


I molded the piece to the shape of the plastic on the grinder by filling a slot on the wood with hot glue, then pressing the plastic part into the still soft glue. I put some plastic foil over the handle part so that the hot glue would stick to the foil, and not the grinder.

The only catch was, I couldn't really use it for the first week or so because I didn't have enough strength in my right arm to hold the power drill! But the arrangement made such fast work of grinding the nuts that we ground a whole week's worth of nuts in one go with when my brother and his girlfriend came to visit.


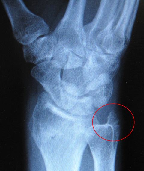
Five and a half weeks after the accident, I went back to get the cast "removed" and final X-rays. The doctor initially wanted to schedule it a week later, but I managed to convince him to check it at five and a half, though he warned me "if it's not healed by then, we'll have to put another cast on it".

But even before that check up at five and a half weeks, I started taking the cast off for a few hours at a time for light activity such showering or eating to get a head start on getting the wrist moving again.

That second cast really was too tight

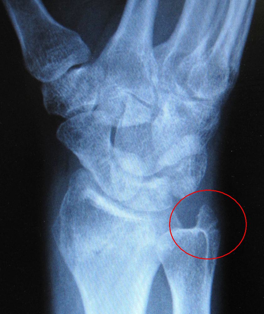
Looking at the X-rays, the doctor said that it had healed up nicely. What I didn't like though was to see that the ulna styloid had folded inwards a bit. I knew the second cast was very tight against there, especially as I turned my wrist downwards to be able to type, it pushed pretty hard against there. The initial X-rays, and the X-rays after the first cast had that styloid in the right place. But this X-ray showed that it was folded inwards a bit. I would assume because of the pressure from the second cast. Surely, that could not have been my fault! :)

When I pointed that out on the X-ray, the doctor said "that's healing pretty good, don't worry". Calcification of bones happens over a much longer period of time, so if you can see any healing in the X-rays at all, that's actually quite a bit of progress already. But what bothers me is that it's folded inwards a bit. I hope this won't cause complications down the road. At the moment, I still have limited range of motion in the wrist (normal after having a cast), so I can't tell if this will be a problem. But knowing what I know now, I would have cut that second cast in half to relieve the pressure immediately. It wasn't a displaced fracture, no bones needed setting, so I didn't need the cast to hold the bones in the right place, I only needed it to avoid messing up the healing. Oh well. Compared to the doctor, I certainly lack perspective on these things, but I think I more than make up for it with obsessiveness! :)


Recovering range of motion

Before I broke a bone, I used to think that once the cast came off, it would be all done. But the problem with immobilizing a joint for a period of time is that it stiffens up. The body adapts - unused muscles atrophy, and the range of motion that isn't used is "optimized" away. I think the tendons and ligaments over time adjust in length to accommodate the range that's needed. After some time in a cast, they are probably too short for a normal range of motion.

Regaining range of motion takes weeks, so daily improvement isn't really noticeable. I wanted to be sure that I was actually making progress, so I started to measure the up-down (dorsflection-palmflection) range of motion of my wrist every day. With my forearm thumbs-up on the table, I traced a line along the back of my hand with the wrist flexed down as far as I could. Then, without moving my forearm, I'd flex it in the opposite direction as far as I could, trace another line, and then measure the angle between those with a protractor. When I started measuring it, my range of motion was up to about 60 degrees, but ten days later, it was up to 90 degrees. I can do over 135 degrees with my left wrist.

I found that while I slept, I'd sometimes bend my wrist too far and then wake up in pain. So for two weeks after the cast officially came off, I always put it back on before going to bed.

I was also given some physiotherapy exercises to do to recover range of motion with the wrist, though the doctor advised waiting a week before starting those, and that in the interim, I shouldn't lift anything heavier than a phone book. I'm sure that's sound advice. Even without trying, with the limited range of motion I had, I'd often flex my wrist to the point of pain just by accident, so there was no need to push it with physiotherapy on top of that!


But the doctor's orders didn't really stop me from doing stuff around the house and in my workshop. When it got a bit too much for my wrist, I just put the cast back on and kept on going. That relieved the wrist and I could keep on doing stuff.

On a visit to my parents, I needed to build a railing at the entrance to my dad's shop (he's getting less steady and fell in that spot recently). But I just put the cast back on while working on that, and I didn't end up hurting my wrist.


On to the next project...

I had some cool ideas for building a 12" (30 cm) jointer, or a bandsaw sawmill for cutting up logs, and a 20" (50 cm) bandsaw based on scaling up my second 16" bandsaw. But I figured my first project after the accident should be something that wouldn't involve any heavy lifting.

Despite offering plans for my modular marble machine, I still get queries for plans for my marble machine 2 from time to time. So I knew I had to put together plans for that machine eventually, and I started drawing up a CAD model before I could get back to the shop. It's a modified design to make it easier to build from plans and eliminate some of the hard to get components. I also adapted the design to run with standard sized 16 mm (5/8") size marbles. The original machine runs with 14 mm marbles. Hopefully, this machine will be even louder than the original!

I used my BigPrint program to make 1:1 templates of all the parts. Having 1:1 paper templates really speeds things up, and I have already started the construction and shooting video of the process. But putting together the article, videos and detailed plans for sale usually takes a month, so I will probably write about a few more clever uses for my 3D router pantograph in the interim.


Back to How I broke my wrist