This article was co-authored by Laura Marusinec, MD. Dr. Marusinec is a board certified Pediatrician at the Children's Hospital of Wisconsin, where she is on the Clinical Practice Council. She received her M.D. from the Medical College of Wisconsin School of Medicine in 1995 and completed her residency at the Medical College of Wisconsin in Pediatrics in 1998. She is a member of the American Medical Writers Association and the Society for Pediatric Urgent Care.
There are 8 references cited in this article, which can be found at the bottom of the page.
wikiHow marks an article as reader-approved once it receives enough positive feedback. In this case, 100% of readers who voted found the article helpful, earning it our reader-approved status.
This article has been viewed 267,218 times.
Heel spurs are common occurrences. Spurs occur when a pointed bony outgrowth develops on the bone of the heel.[1] They are most often associated with plantar fasciitis, which is an inflammation of the plantar fascia ligament. This is the tissue that stretches underneath the sole of your foot that attaches to the heel.[2] Heel spurs are not the only cause of plantar fasciitis, but over 50% of patients with the issue have heel spurs.[3] Heel spurs aren't always simple to diagnose because other foot ailments have similar symptoms. If you have heel pain and wonder if you have spurs, you can learn the symptoms and causes of heels spurs so you can begin to treat them and get your feet back to normal.
Steps
Part 1
Part 1 of 3:Recognizing the Symptoms of Heel Spurs
-
1Locate the pain. Heel spurs can show up in multiple places on your heel. This can cause the pain to be slightly different depending on exactly where the heel spur is. They can be located at the back of the heel or under the heel, near the sole of your foot. If you are experiencing pain along the back of your foot, up through your ankle, you might have a heel spur on the back of your heel.
- If the pain you feel is localized on the sole of your foot and main curve of your heel, you may have a heel spur on the underside of your heel.[4]
-
2Notice when the pain is at its worst. If you are experiencing heel pain, you should take note of when the pain is the worst. Most of the pain associated with heel spurs is worse first thing in the morning, with the first few steps you take in the morning being the most painful. There will also likely be pain when you step on your heel again after long periods of rest.
- Your heel pain may also get worse if you put a lot of pressure on your foot throughout the day. Any prolonged irritation of the spur can cause pain.[5]
Advertisement -
3Keep track of the pain. The main symptom of heel spurs is prolonged pain. Often, a doctor will base her diagnosis on a history of pain in your foot by the heel. You should keep a log of how often you experience pain in your heels and under what circumstances the pain exhibits itself.
- The kind of pain the doctor will be looking for is any general pain or tenderness at the bottom of your heel, especially when you walk barefoot across tile or wood floors.[6]
-
4Understand the cause of the pain from an upper heel spur. If you have heel spurs on the upper portion of your heel, the pain you experience isn't actually directly caused by the spur. The bony outgrowth rarely causes pain on its own, but the tissue will build up calluses on them to help cushion the spurs. These will eventually cause wear and tear on the joints, which can cause the spurs to compress the neighboring tendons, nerves, or ligaments.
- This is what causes injury as well as tearing, pain, and swelling.[7]
- The muscle that will likely be most affected with this type of heel spur is the Achilles tendon. The spurs will cause tenderness and pain at the back of the heel, where the Achilles tendon is, which is made worse when you push off on the ball of your foot.[8]
-
5Recognize the cause of heel pain associated with plantar fasciitis. If your spur is on the bottom of your foot, along the plantar fascia, the pain is typically caused by the spur moving against the plantar fascia. This causes local tenderness due to inflammation and swelling.
- The pain is typically made worse when you stand or walk on the area for too long.[9]
Advertisement
Part 2
Part 2 of 3:Diagnosing Your Heel Spurs
-
1Understand the causes. Heel spurs can be caused by a few separate issues relating to the muscles, ligaments, and tendons in your feet. Often, heel spurs occur when there is extended strain on the foot's muscles and ligaments. This strain is often associated with repeated activities, such as running, extensive walking on feet unaccustomed to the exercise, and repeated jumping. They can also be caused by improper fitting or worn out shoes.
- The exact cause may be slightly hard to pinpoint because the pain related to the heel spurs may take a while to manifest after the activity that finally causes the pain. Try to keep track of when your pain occurs so you can try to link it with the probable cause.[10]
-
2Know if you are at risk. Individuals most at risk for heel spurs are those that put a lot of stress on their feet. People who take part in a lot of sporting events or athletic activities that put repetitive pressure on the feet are likely at risk. You may also be at risk if you are pregnant, obese, or have diabetes.[11] Individuals who work in a job where they spend a lot of time on their feet, such as construction workers, nurses, waitresses, or factory workers, may also be at risk due to the daily strain on their feet across hard surfaces.
- For example, people who run a lot, play tennis, or play volleyball are at risk for heel spurs. Individuals who do a lot of step aerobics or climbing exercises are also at risk.
- If you wear ill-fitting high heels on a regular basis, you may also be at risk for heel spurs.[12]
-
3Go to your doctor. If you are experiencing chronic pain in your heels, you need to see your doctor. If you have a podiatrist, you can go see her first. However, if you only have a general doctor, she can do a preliminary examination and refer you to a good podiatrist that will be able to help with your spurs. Your podiatrist will likely ask for a history of any past foot ailments, any stress factors that may have contributed to the spurs, and the state of the shoes you wear on a normal basis.
- She will feel along your injured foot for any abnormalities and try to replicate the pain you feel in order to diagnose it. She will also likely check the range of motion of your foot and ankle as well as assess the way you walk.
- You should explain to your doctor exactly the kind of pain you feel, when you feel it, and what parts of your foot the pain effects.
-
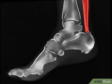
4Get an x-ray. If you podiatrist suspects that you have heel spurs, she may x-ray your foot to see what is going on. Since spurs occur on a bony outgrowth on your foot, they will show up on the x-ray in a very similar way to the bones in your feet. Your podiatrist will understand the difference between the spurs and normal bony areas of your foot.[13] The kind of heel spurs that typically show up on x-rays have most likely been growing on your foot for at least six months and extend out of your foot about 1/2 an inch.
- The doctor may also find other heel spurs or bone spurs that are not giving you pain. Not all spurs cause pain, just ones that have been around long enough to cause inflammation or create calluses.
Advertisement
Part 3
Part 3 of 3:Starting First Line Treatment for Heel Spurs
-
1Rest your foot. When you first start experiencing pain in your heel, you should rest the area. To do this, you should cut out any activity that puts unnecessary stress on your heels and you plantar fascia. This means you need to stop any exercise or physical activity, such as running, long distance walking, or jumping, that might irritate the tissues in your foot.
- Resting for a few days usually is enough to make the pain go away, but if there is continual pain, other options might be necessary.
-
2Ice your foot. If your foot in continually inflamed or irritating you, you can try to alleviate the swelling and pain with a cold compress or ice. Grab a cold compress from your freezer and a towel or cloth. Wrap the cold compress in the towel. Place the cold compress against your heel, concentrating the bulk of the compress on the area that hurts the most. Leave the compress on for 15 minutes.
- You can also use ice or ice water on your heel. Just make sure you don't expose your skin to the cold for too long so you don't hurt or burn your skin.
- You can repeat this multiple times a day. Try not to leave it on for more than 15-30 minutes. You don't want to stop the blood flow to your heel too much or you might injure yourself more.
- Ice is especially helpful after your heels are sore from walking or other activities.
-
3Take pain medication. Although it will not treat the overall cause of the heel spur, you can take over the counter medication to help you deal with the pain from your spur. You can take acetaminophen or aspirin to help relieve the pain you have while you rest your foot. You can also try medications such as nonsteroidal anti-inflammatory drugs (NSAIDs), which will also help with the swelling and inflammation. The two most popular NSAIDs are ibuprofen or naproxen.
- Common brands of NSAIDs are Advil, Motrin, and Aleve. Popular non anti-inflammatory drugs are Tylenol and Bayer.[14]
-
4Cushion your foot. One way that podiatrist often treat heel spur pain is by giving you inserts to wear in your shoes. This can be simple heel cups to cushion and protect your heel.[15] She may also give you more advanced orthotics, which are inserts worn inside your shoes to correct mechanical motion problems with your feet that led to your spurs. These take the pressure off of your heels and help change the way you walk.
- Your doctor may also suggest you tape your heel to provide pressure and cushioning for your heel.
-
5Change your shoes. You can change the type of shoe that you wear in order to help alleviate the pain associated with heel spurs. This includes shoes that are more comfortable, shoes with better arch and heel support, shoes with higher heels to take the pressure off your heels, and significantly cushioned running shoes.
- The type of shoe that you need will depend on the problem you have with your feet. It will vary and may take multiple kinds of shoes, depending on what you common activities are.
-
6Do stretching exercises. Your doctor or podiatrist may recommend exercises that stretch your calf muscles, which may provide relief from foot pain.[16]
- Try a calf stretch. Place both hands flat against a wall and stand with one leg stretched straight behind you, heel on the ground. Place the other leg in front, knee bent. Stretch the calf muscle by pushing your hips toward the wall and hold for ten seconds, then relax. You should feel a strong pull in the calf muscle. Repeat this exercise 20 times per foot.[17]
-
7Massage your foot. Therapeutic deep tissue massage to the heel pad and back of the calf muscles is known to help the pain, swelling and discomfort associated with plantar fasciitis. When performed in expert hands, deep tissue massage helps release tension and break scar tissue. If the massage is aggressive, you may experience some pain or soreness after the massage, which resolves in a few hours or occasionally, a few days.Advertisement
References
- ↑ http://www.medicinenet.com/heel_spurs/article.htm#what_is_a_heel_spur_what_are_symptoms_of_a_heel_spur
- ↑ http://www.medicinenet.com/heel_spurs/page2.htm
- ↑ http://www.aafp.org/afp/2011/1015/p909.html
- ↑ http://www.medicinenet.com/heel_spurs/article.htm#what_is_a_heel_spur_what_are_symptoms_of_a_heel_spur
- ↑ http://www.aafp.org/afp/2011/1015/p909.html
- ↑ http://www.medicinenet.com/heel_spurs/page2.htm
- ↑ http://www.drweil.com/drw/u/ART03031/Heel-Spurs.html
- ↑ http://www.medicinenet.com/heel_spurs/article.htm
- ↑ http://www.drweil.com/drw/u/ART03031/Heel-Spurs.html
- ↑ http://www.drweil.com/drw/u/ART03031/Heel-Spurs.html
- ↑ http://www.drweil.com/drw/u/ART03031/Heel-Spurs.html
- ↑ http://www.drweil.com/drw/u/ART03031/Heel-Spurs.html
- ↑ http://www.medicinenet.com/heel_spurs/page2.htm
- ↑ http://www.mayoclinic.org/drugs-supplements/naproxen-oral-route/description/drg-20069820
- ↑ http://www.medicinenet.com/bone_spurs/page3.htm#what_is_the_treatment_for_bone_spurs
- ↑ http://orthoinfo.aaos.org/topic.cfm?topic=a00149
- ↑ http://orthoinfo.aaos.org/topic.cfm?topic=a00149
About This Article
To identify heel spurs, look for pain under your foot, at the back of your heel, or radiating into your ankle. The pain may be worst in the morning or after you rest, but it could also worsen throughout the day as you use your foot. To help your doctor diagnose your condition, keep track of when you feel the pain and how long your symptoms last. You should also let them know if you have any common risk factors for heel spurs, such as athletic activities that put pressure on your feet or certain health conditions, including pregnancy, obesity, or diabetes. If you suspect you have heel spurs, talk to your doctor about getting diagnostic tests, like a physical exam and an X-ray, to help you be sure. Keep reading for more tips from our Medical co-author, including how to treat heel spurs!



























































Medical Disclaimer
The content of this article is not intended to be a substitute for professional medical advice, examination, diagnosis, or treatment. You should always contact your doctor or other qualified healthcare professional before starting, changing, or stopping any kind of health treatment.
Read More...