Definition

Acute Respiratory Distress Syndrome (ARDS) is defined as Respiratory failure within one week of a known clinical insult or new or worsening respiratory symptoms (with) bilateral Pulmonary opacities on Chest X-ray or Computerized tomographic (CT) Scan - not fully explained by effusions, lobar/lung collapse or nodules, not fully explained by Cardiac failure or fluid overload* with PaO2/FiO2 ≤ 300mmHg† with PEEP or CPAP≥5CmH2O^.
*Need objective assessment (ex.Echocardiography) to exclude hydrostatic oedema if no risk factor present.†Mild >200≤300mmHg, Moderate >100≤200mmHg, Severe ≤100mmHg [Fig 1]. If the altitude is higher than 1000m (from Mean Sea Level), a Correction factor should be calculated as follows:[PaO2/FiO2X(Barometric Pressure/760)].^This may be delivered non-invasively in Mild acute respiratory distress group.PaO2Arterial Oxygen tension; FiO2Fractional Inspired Oxygen Concentration; CPAP Continuous Positive Airway Pressure; PEEP Positive End-Expiratory Pressure. [1]
Pathophysiology

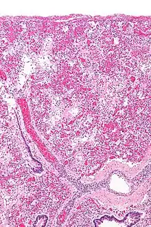
Leukocyte-mediated pulmonary inflammation is a key pathophysiological mechanism involved in ARDS.[2] This is presumed to cause Diffuse Alveolar Damage (DAD) [Fig 2]. On histologic examination, DAD is present in 40-60% of patients clinically diagnosed as having ARDS.[3]
Causes
- Risk factors
There exist evidence for genetic predisposition among patients who develop ARDS. For instance, the presence of the allele D of the ACE gene is associated with ARDS in patients with severe sepsis.[4]
- Causes
Various clinical conditions are associated with development of ARDS. They include (not limiting to):
* Sepsis * Pneumonia * Bacterial, Viral, Parasitic * Aspiration Pneumonitis * Pancreatitis * Burns * Trauma * Fat-embolism syndrome * Smoke inhalation * Drug overdose * Toxins and envenomations * Near drowning * Heart-lung bypass (during Cardiac surgery)
Diagnosis
The Diagnosis of the syndrome requires satisfaction of the criteria mentioned above. In addition to the satisfaction of the temporal criteria (Respiratory distress within one-week of a clinical insult), diagnosis requires the measurement of Arterial Oxygen Tension (PaO2), Fractional inspired Oxygen Concentration (FiO2), imaging modalities such as Chest Radiograph or Computerised Tomographic (CT) Scan of the chest, Echocardiography or another modality (ex. Pulmonary Arterial Catheter) to exclude heart failure objectively.
Treatment
The core principles of treatment are:
- Recognition of patients at risk
Currently there appears to be a lack of diagnostic modalities to identify individuals at risk of developing ARDS. Some research point to the utility of Genetic markers but they are not commonly utilized at this current time. Specific bio-markers for detection of early ARDS are not utilized in common clinical parlance.
- Preventative strategies
Preventative strategies could include limiting of Blood component transfusion (risk of Transfusion related lung injury), early recognition and treatment of Sepsis, implementation of strategies to prevent 'Ventilator-associated Pneumonia', improved Cardiac bypass surgical practices (including consideration of 'off-bypass' Surgery).
- Treatment of the primary inciting pathology
Although it is unclear if ARDS represents a primary homogenous entity or a heterogenous group of disorders culminating in Pulmonary parenchymal dysfunction, treatment of primary inciting pathology is vital. This includes interventions such as limiting ongoing exposure to injury causing agents (ex. Smoke, toxins) and treating Sepsis with source control.
- General supportive Intensive Care
One of the most important aspects of care in ARDS is provision of General Supportive Intensive Care. This includes close clinical observation, intensive nursing care and strategies to reduce the risk of Deep venous thrombosis, Gastro-intenstinal mucosal erosions (Stress ulcers), Ventilator-associated pneumonia and Central-line associated blood stream infections. Attention to nutritional support is very important as are the interventions to reduce the risk of pressure-ulcers. It is advisable to use Antibiotics rationally by avoiding Antibiotics in situations where the benefit is unclear, informed selection of empiric Antibiotics, Culture-directed therapy and de-escalation, consultation with Infectious disease specialists when appropriate. Glycaemic control in Intensive Care targets a Blood Sugar Level (BSL) between 6 to 10mmol/L. In some countries, 'prompting' strategies such as 'FASTHUG' measures are utilized (Feeding, Analgesia, Sedation, Thrombo-embolic prophylaxis, Head-up, Ulcer prophylaxis, Glycaemic control).
- Lung protective Ventilatory strategy
Lung protective Ventilatory strategy implies prevention of ventilator induced lung injury and while at the same time, provision of adequate Oxygenation and Ventilation.The generally accepted ventilatory parameters are a tidal volume (Vt) of 4-6ml/kg of Ideal body weight, a Plateau pressure (Pplat) <= 30 CmH2O, Partial tension of CO2 in arterial blood (PCO2) of 65 to 80 mmHg, tolerating a primary respiratory acidosis to pH of 7.2 and Partial tension of O2 in arterial blood (PO2) of at least 65 mmHg.
- Restrictive Fluid therapy
- Therapies for refractory hypoxemia
These include advanced mechanical ventilatory modes, Prone positioning, High-frequency Oscillatory ventilation and Extra-Corporeal Membrane Oxygenation (ECMO).
- Experimental modalities
Prognosis
The syndrome has a high mortality between 20 and 50%.[5] The mortality rate with ARDS varies widely based on disease severity, the patient's age, and the presence of other underlying medical conditions.
Consequences
References
- ↑ The ARDS Definition Task Force. Acute respiratory distress syndrome: the Berlin definition. JAMA 2012;307:2526–2533 Read More: http://jama.jamanetwork.com/article.aspx?articleid=1160659#Results
- ↑ Pascal Preira, Jean-Marie Forel, Philippe Robert, Paulin Nègre, Martine Biarnes-Pelicot, Francois Xeridat, Pierre Bongrand, Laurent Papazian, Olivier Theodoly. The leukocyte-stiffening property of plasma in early acute respiratory distress syndrome (ARDS) revealed by a microfluidic single-cell study: the role of cytokines and protection with antibodies, Critical Care, 2016, 8, DOI: 10.1186/s13054-015-1157-5
- ↑ Chest. 2015;147(1):7-8. doi:10.1378/chest.14-0874 http://journal.publications.chestnet.org/article.aspx?articleid=2085928#r2
- ↑ Shock. 2013 Mar;39(3):255-60. doi: 10.1097/SHK.0b013e3182866ff9.http://www.ncbi.nlm.nih.gov/pubmed/23364437
- ↑ Rubenfeld, Gordon D.; Caldwell, Ellen; Peabody, Eve; Weaver, Jim; Martin, Diane P.; Neff, Margaret; Stern, Eric J.; Hudson, Leonard D. (20 October 2005). "Incidence and Outcomes of Acute Lung Injury". New England Journal of Medicine 353 (16): 1685–1693. doi:10.1056/NEJMoa050333.