Atlases are marvellous things and everyone should have one.
Atlases/History - A short history of the various atlases that have been produced at the BIC (McConnell Brain Imaging Center, Montreal Neurological Institute).
ICBM152 Linear

This is a linear average.
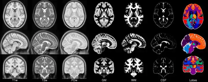
In 2001, within the context of the ICBM project (19) a concerted effort was undertaken by three sites (MNI, UCLA, RIC) to collect a set of full- brain volumetric images from a normative population specifically for the purposes of generating a model. 152 new subjects were scanned using T1, T2 and PD sequences as the MNI’s part of the ICBM project using a specific protocol (27). These images were acquired at a higher resolution than the original average 305 data and exhibit improved contrast due predominately to advances in imaging technology. Each individual was linearly registered to the average 305 and a new model was formed. In total, three models were created at the MNI, the ICBM152_T1, ICBM152_T2 and ICBM152_PD from 152 normal subjects. This resulting model is now known as the ICBM152 (although the model itself has not been published). One advantage of this model is that it exhibits better contrast and better definition of the top of the brain and the bottom of the cerebellum due to the increased coverage during acquisition.
The entirely automatic analysis pipeline of this data also included grey/white matter segmentation via spatial priors (41). The averaged results of these segmentations formed the first MNI parametric maps of grey and white matter. The maps were never made publicly available in isolation but have formed parts of other packages for some time including SPM, FSL AIR and as models of grey matter for EEG source location in VARETTA and BRAINWAVE.
Again, as these models are an approximation of Talairach space, there are differences in varying areas, to continue our use of origin shift as an example, the ICBM models are approximately
152: – +3.5mm in Z and +-co-ordinate -3.5mm and 2.0mm in Y as compared to the original Talairach origin.
In addition to the standard analysis performed on the ICBM data, 64 of the subjects data were segmented using model based segmentation. 64 of the original 305 were manually outlined and a resulting parametric VOI atlas built.
The native data from these acquisitions was 256x256 with 1mm slices. The final image resolution of this data was 181x217x181 with 1mm isotropic voxels.
And here is a link to it: ICBM152 linear model
Latest Version: ICBM152 Symmetric Non Linear 2009c

Which should I use?
ICBM152 NonLinear: If you are fitting an individual to model and do not care about left/right comparisons